NEW!!
Application of discriminative feature selection in
tracking (car, flag ).
MERITS (MEdical Robotics and Information TechnologieS) Newsletter featuring Dr. Yanxi Liu
General Problem Formalization and Algorithm Development
(last updated Dec. 2002)
Jiayong Zhang and Yanxi Liu, "SVM Decision Boundary Based Discriminative Subspace Induction",
CMU RI tech report CMU-RI-TR-02-15,
July 2002.
Biomedical Image Databases
Neuroimage Analysis
A JAVA user interface of an semantic-based 3D Neuroimage Retrieval System, under developing by Dr. Liu et al at the Robotics Institute of Carnegie Mellon University. Using our statistical learning approach, the two panels on the right of this picture show the same query image (left), and the most similar (top right) and the second most similar images (bottom right) retrieved from an image database of more than 100 pathological, volumetric neuroimages.
Sample results of visualization, registration and segmentation
of volumetric pathological neuroimages
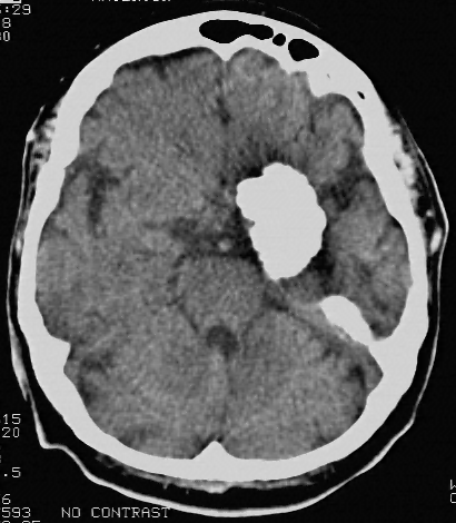
This picture demonstrates the results of several sample techniques our
team is developing for achieving the goal of classification-driven
semantic based neuroimage indexing and retrieval. Top left: 3D lesion
visualization (hemorrhage on CT ). Top right: multi-modality
deformable image registration between a digital brain atlas (normal on
MR T1) and a volumetric pathology image (tumor on MR T2). Bottom:
automatic lesion detection and segmentation (bland infarct on CT).
video on separation of neuroimage pathology classes

Learning Multispectral Texture Features for Cervical Cancer Detection
Selected Publications
Wachtman, G.S, Liu Y., Zhao T., Cohn J.F., Schmidt, K.L., Henkelmann, T.C., VanSwearingen J.M., Manders, E.K.
"Measurement of Asytmmetry in Persons with Facial Paralysis",
Combined Annual Meeting of the Robert H. Ivy and Ohio Valley Societies of Plastic and Reconstructive Surgeons, June 8, 2002.
(Best paper overall and first prize in Clinical Science category).
Liu, Y., T. Zhao and J. Zhang
``Learning Multispectral Texture Features for Cervical Cancer Detection'',
IEEE International Symposium on Biomedical Imaging: Macro to Nano.
(ISBI'02).
Washington DC, July 7-10, 2002.
on-line version .
J. Zhang, Y. Liu, and T. Zhao.
"SVM Based Feature Screening Applied to Hierarchical Cervial Cancer Detection"
International Conference on Diagnostic Imaging and Analysis.
(ICDIA 2002).
Shanghai, China, August 18-20, 2002.
(on-line copy).
T. Zhao, J. Zhang, and Y. Liu.
"Does Multispectral Texture Features Really Imporve Cervical Cancer Detection?"
International Conference on Diagnostic Imaging and Analysis.
(ICDIA 2002).
Shanghai, China, August 18-20, 2002.
(on-line copy).
Liu, Y., Lazar, N.A., Rothfus, W.E., Buzoianu, M. and Kanade, T.,
``Classification-Driven Feature Space Reduction for Semantic-based
Neuroimage Retrieval'', International Symposium on
Information Retrieval and Exploration in Large Medical Image Collections
(VISIM 2001), October 18, 2001.
In conjunction with the Fourth International Conference on Medical Image
Computing and Computer-Assisted Intervention, Utrecht, The Netherlands,
14-17 October, 2001.
(postscript file).
(pdf file).
Liu, Y., Zhao, T., Zhang, J.
``Learning Discriminant Features in Multispectral Biological Images'',
Technical report CMU-RI-TR-01-24, Robotics Institute,
Carnegie Mellon University, 2001.
(abstract).
Liu, Y., Dellaert, F., Rothfus, W., J. Schneider, A. Moore and T. Kanade
``Classification-Driven Neuroimage Retrieval using Statistical Asymmetry
Measures''
submitted to IJCV.
Liu, Y., Dellaert, F., Rothfus, W., J. Schneider, A. Moore and T. Kanade
``Classification-Driven Neuroimage Retrieval using Statistical Asymmetry
Measures'', in Proceedings of Inernational Conference on
Medical Image Computing and Computer Assisted Intervention (MICCAI 2001),
October 13-17, 2001, Utrecht, The Netherlands.
(on-line file).
Liu, Y., Collins, R. and Rothfus, W.
``Automatic Extraction of Ideal Midsagittal Plane From Normal and
Pathological Neuroradiology Images'', IEEE Transactions on Medical
Imaging, 20(3), pp. 175-192, March, 2001.
pdf file
Yanxi Liu, Robert Collins and William E. Rothfus
``Evaluation of a Robust Midsagittal Plane Extraction Algorithm
for Coarse, Pathological 3D Images'',
Medical Imaging Computing and Computer Assisted Intervention (MICCAI 2000),
October 11-14, 2000, Pittsburgh.
(ps file).
Liu, Y. and Dellaert, F.,
``A Classification Based Similarity Metric for 3D
Image Retrieval'',
Computer Vision and Pattern Recognition Conference (CVPR'98),
Santa Babara, CA, June, 1998.
Yanxi Liu, Frank Dellaert, and William. E. Rothfus (M.D.).
``Classification Driven Semantic Based Medical Image
Indexing and Retrieval''.
CMU RI-98-25 (2.2MB compressed using command `compress'), August 1998.
Yanxi Liu, William E. Rothfus (M.D.), and Takeo Kanade.
Content-based 3D Neuroradiologic Image Retrieval: Preliminary Results ,
IEEE Workshop on Content-Based Access
of Image and Video Databases in conjunction with ICCV'98,
Bombay, India, January, 1998.
Yanxi Liu, Robert Collins and William E. Rothfus (M.D.).
``Automatic Extraction of the Central Symmetry
(Mid-Sagittal) Plane from Pathological Neuroradiology Images'',
CMU RI-96-40, November 1996.
Liu, Y., Scudder, M. and Gimovsky, M.L.
CAD Modeling of the Birth Process: II
Proceedings of Medicine Meets Virtual Reality Conference IV,
San Diego, CA, January, 1996.
Presentation Material and Images
pointer to
PowerPoint slides (7) ,
Symmetry Axes Extraction, MRI data, results sheet1
Symmetry Axes Extraction, MRI data, results sheet2
Symmetry Axes Extraction, MRI data, results sheet3
Symmetry Axes Extraction, MRI data, results sheet4

Symmetry Axes Extraction, results on CT slices, click for a larger image

Sample image, click for a larger image

Sample image, click for a larger image Calcified tumor