Adam M. Fass

Home


Adam's Brain

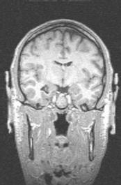
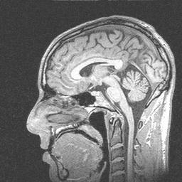
During the summer of 2000, I participated in an fMRI (functional magnetic resonance imaging) study at the University of Virginia.  An fMRI scan shows not only the structure of the brain, but which parts are currently active.  By asking people to do different things while being scanned, psychologists are able to figure out which parts of the brain are used for different tasks.

Since I was working with the psychologists at the time, I was not paid to participate in the study.  However, I volunteered to do it anyway in order to help out my friends, advance mankind's knowledge, and get really cool pictures of what my brain would look like if my head were chopped in half.  Enjoy!

Sagittal view

Coronal view

Axial view